Ваш отзыв
лучшая благодарность
врачу и команде клиники
Сканируйте QR-код и расскажите, как прошёл ваш визит.
Белая Сова
Яндекс.Карты
Ваш отзыв
лучшая благодарность
врачу и команде клиники
Сканируйте QR-код и расскажите, как прошёл ваш визит.
Бэби Вита Дент
Яндекс.Карты
Ваш отзыв
лучшая благодарность
врачу и команде клиники
Сканируйте QR-код и расскажите, как прошёл ваш визит.
Белая Сова
Бэби Вита Дент
О клинике
Стоматология «Белая Сова» и «Бэби Вита Дент» на Мичуринском — первая клиника нашей сети стоматологий. Она расположена рядом с МГУ, в престижном районе с удобной транспортной развязкой и бесплатной парковкой. Именно здесь мы заложили стандарты качества: современные технологии, инновационное оборудование, лечение с видеоанестезией, седацией и в условиях медикаментозного сна.
Безопасность и безболезненность
Для всей семьи
Лечение во сне
Лечение с закисью азота
Найдите своего лечащего врача,
чтобы узнать о нем больше
Врачи-стоматологи для взрослых пациентов
Врач-стоматолог ортодонт, гнатолог
Врач-стоматолог гигиенист
Врач-стоматолог ортопед
Врач-стоматолог ортодонт
Врач-стоматолог хирург-парадонтолог
Врач-стоматолог хирург, имплантолог
Врач-стоматолог хирург, имплантолог
Врач-стоматолог терапевт, главный врач
Врачи-стоматологи для маленьких пациентов
Врач-стоматолог детский
Врач-стоматолог детский
Врач-стоматолог детский
Врач-стоматолог детский
Врач-стоматолог детский
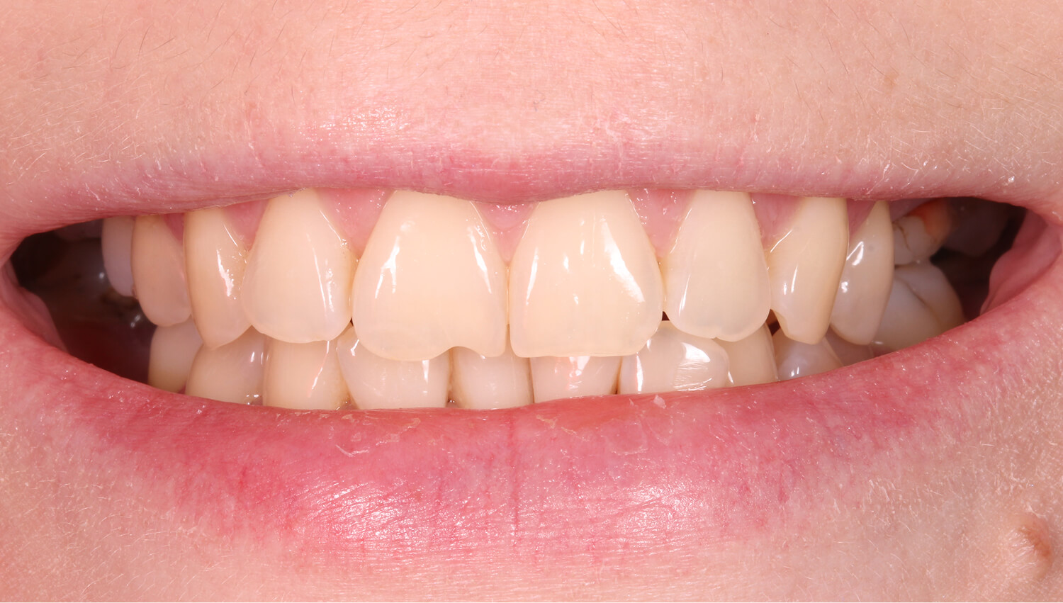
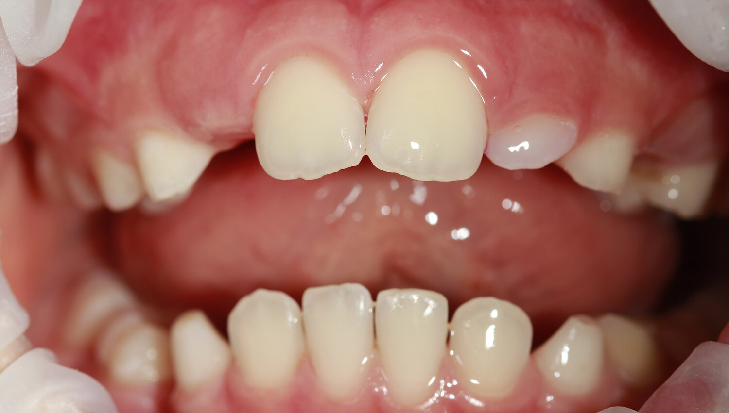
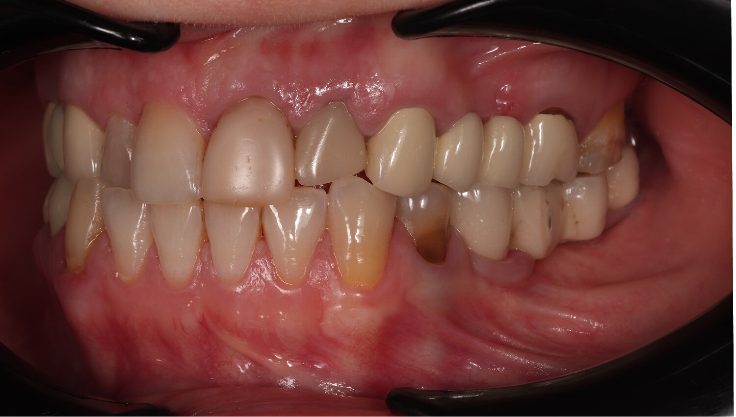
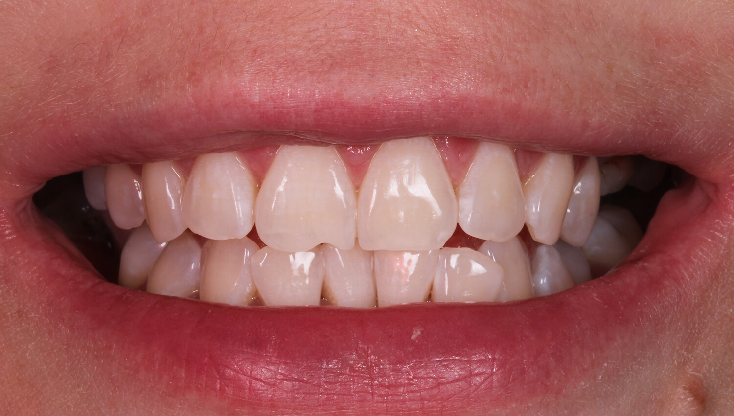
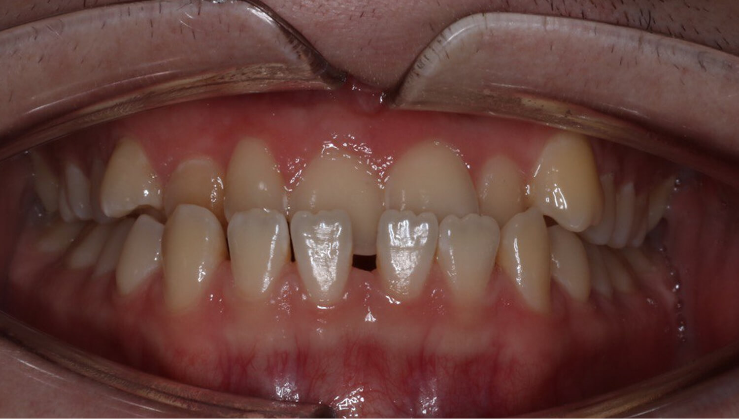
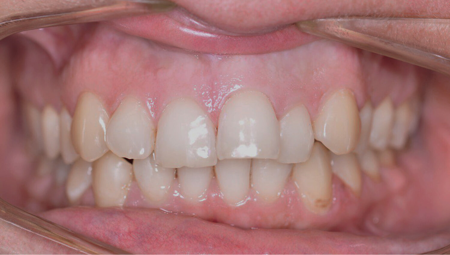
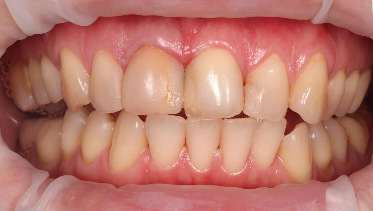
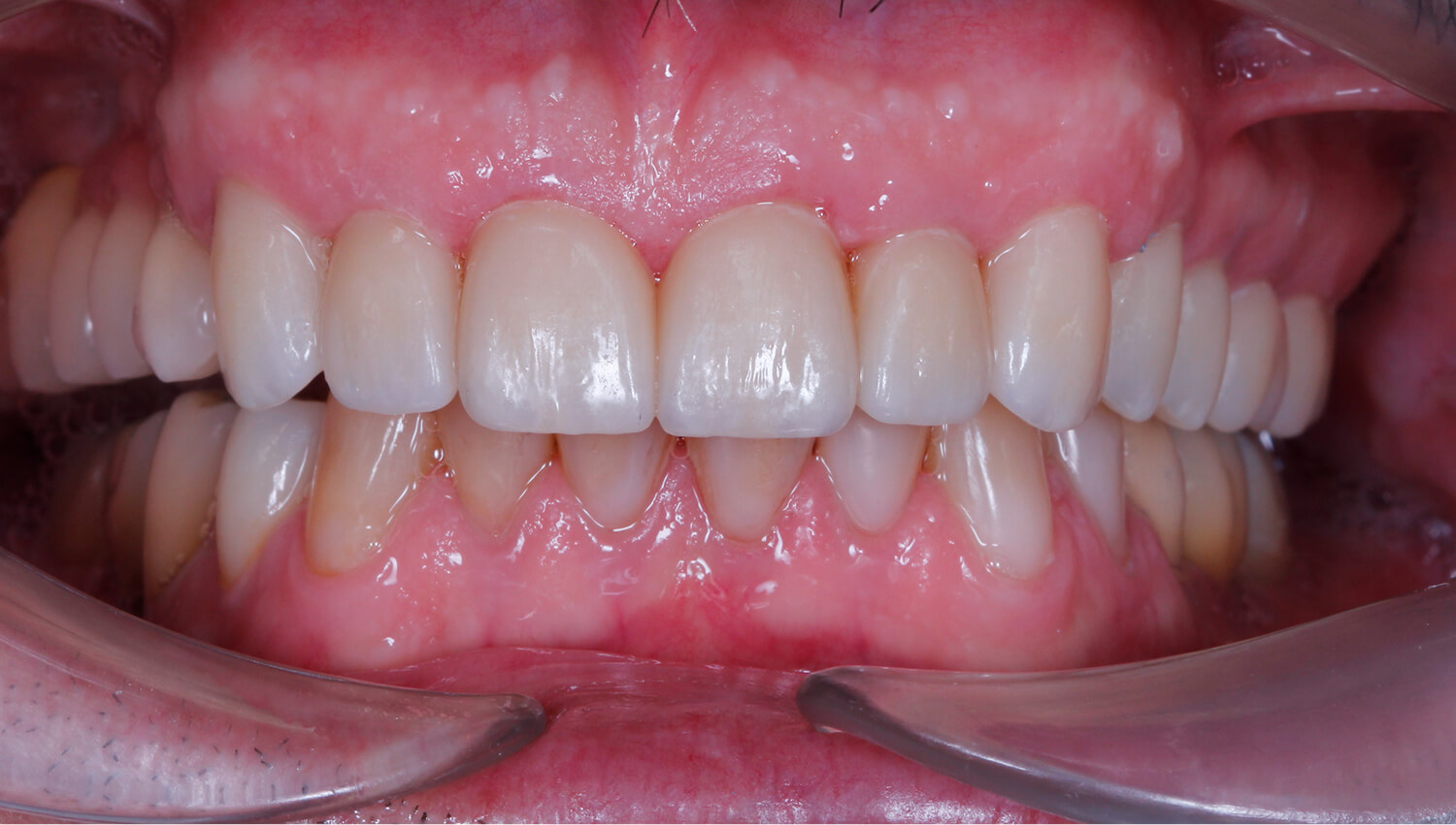
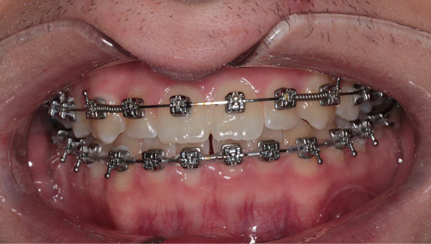
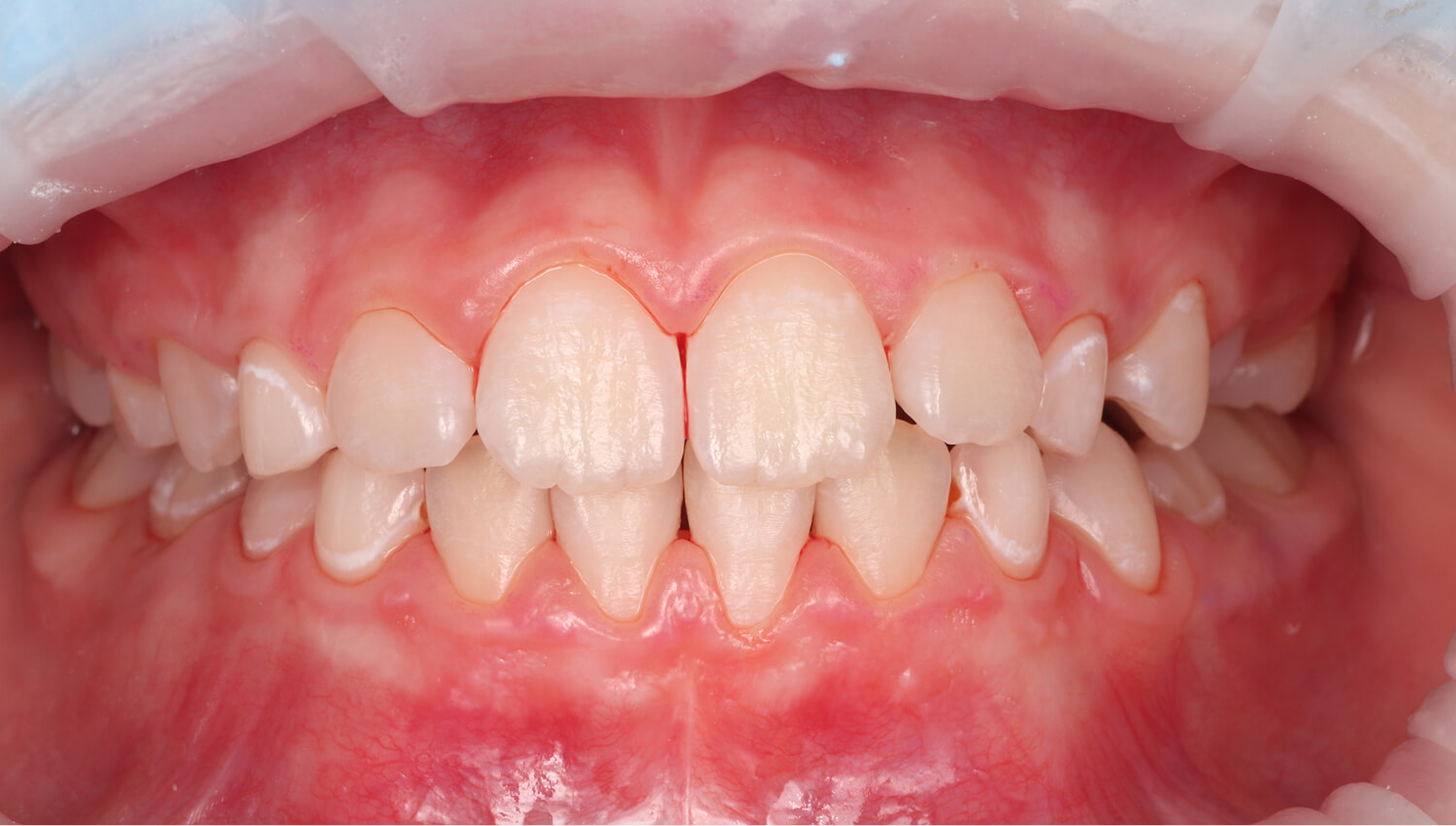
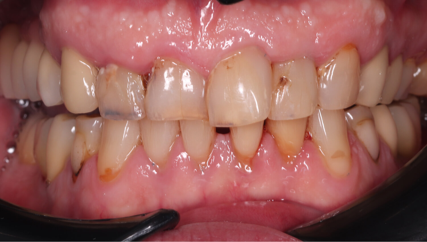
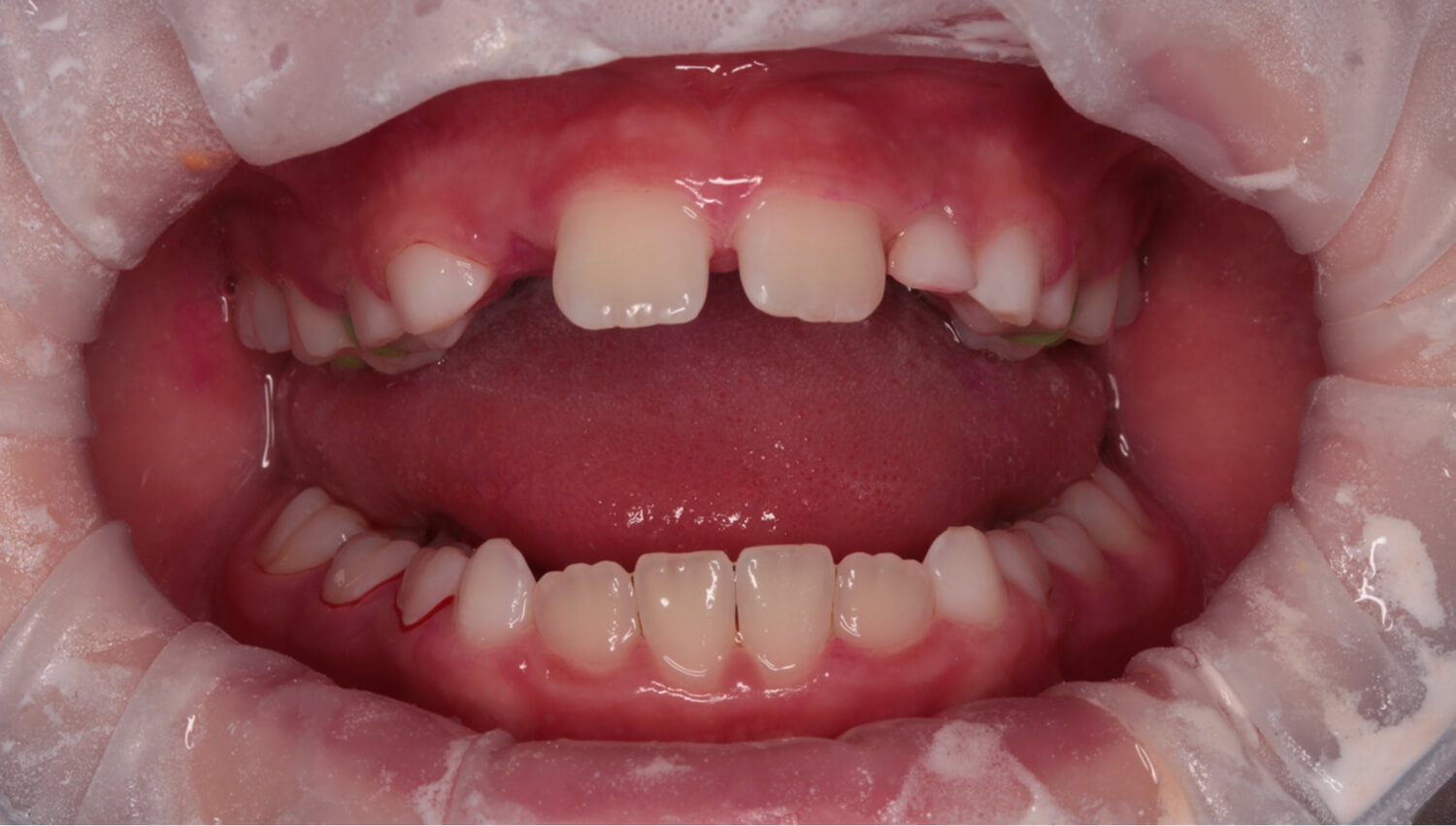
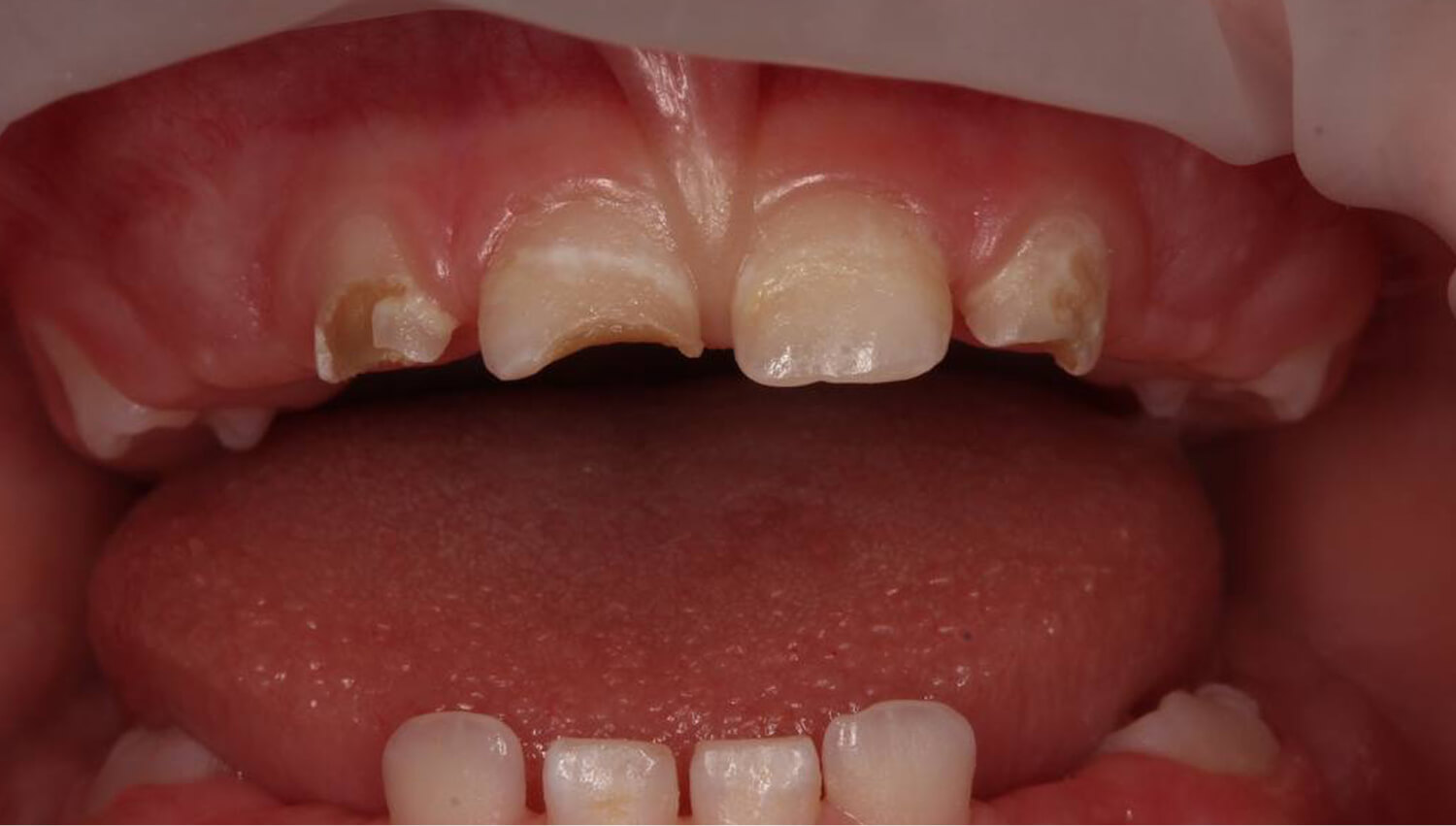
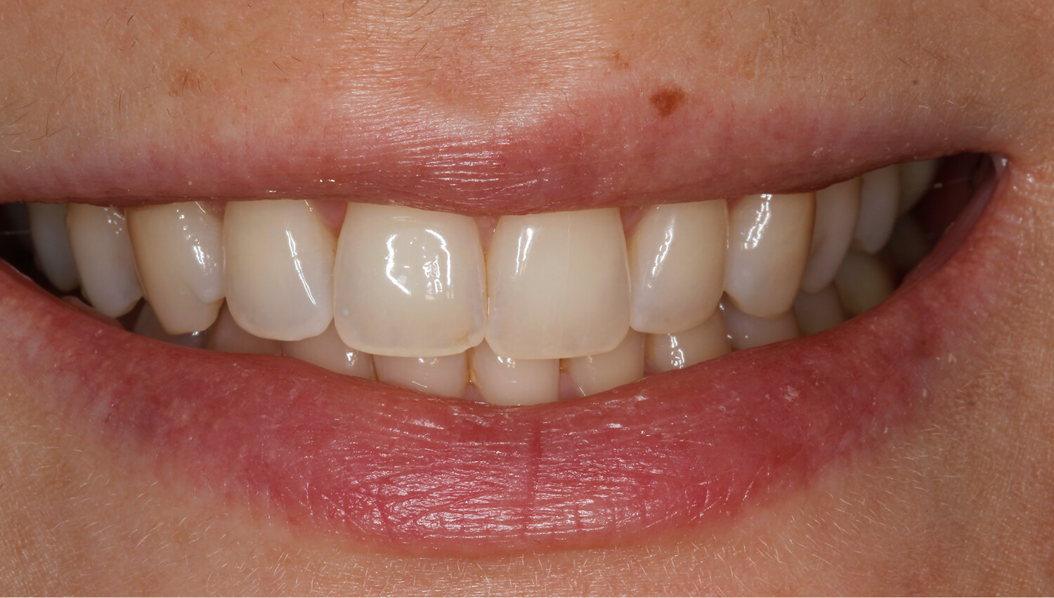
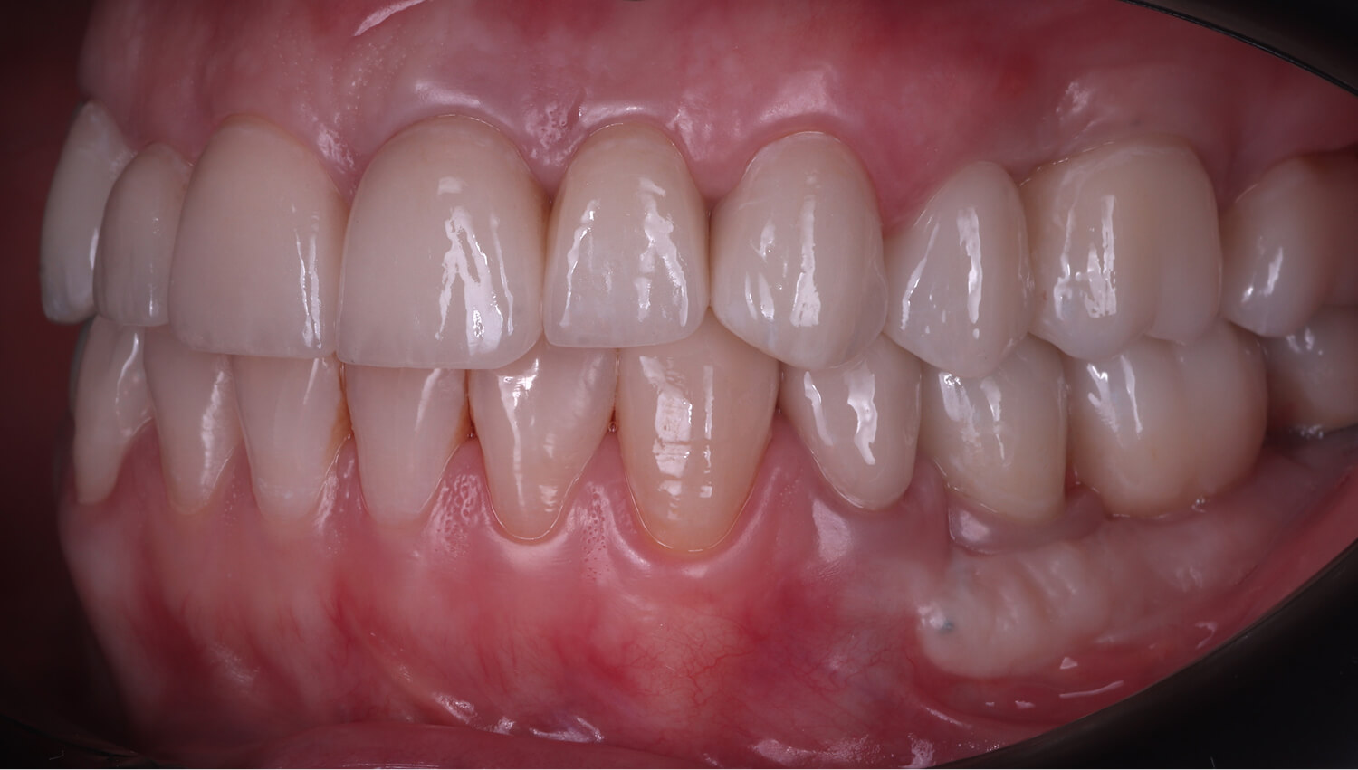
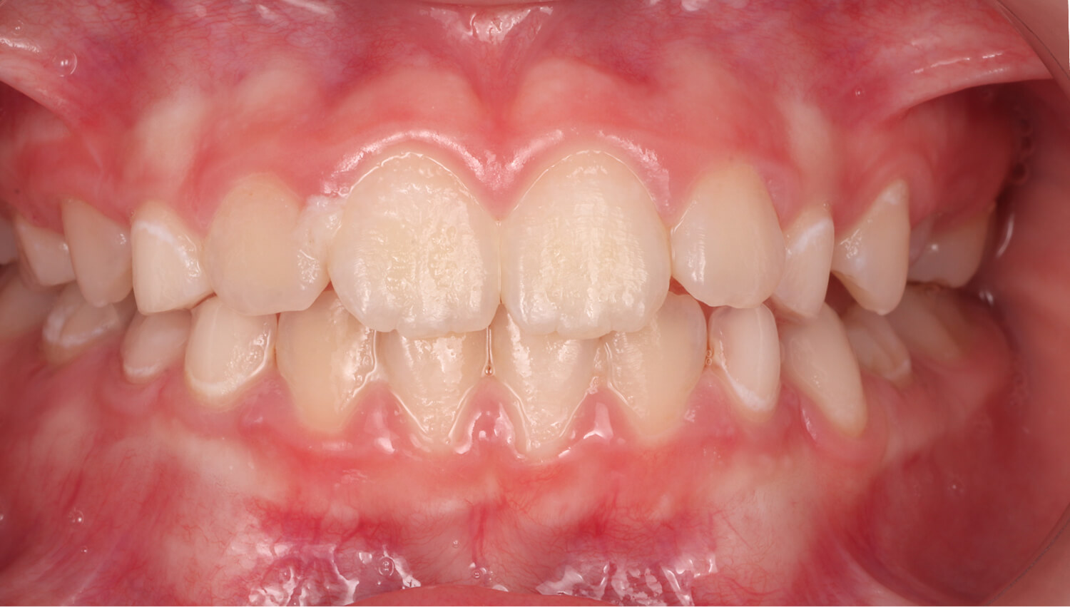
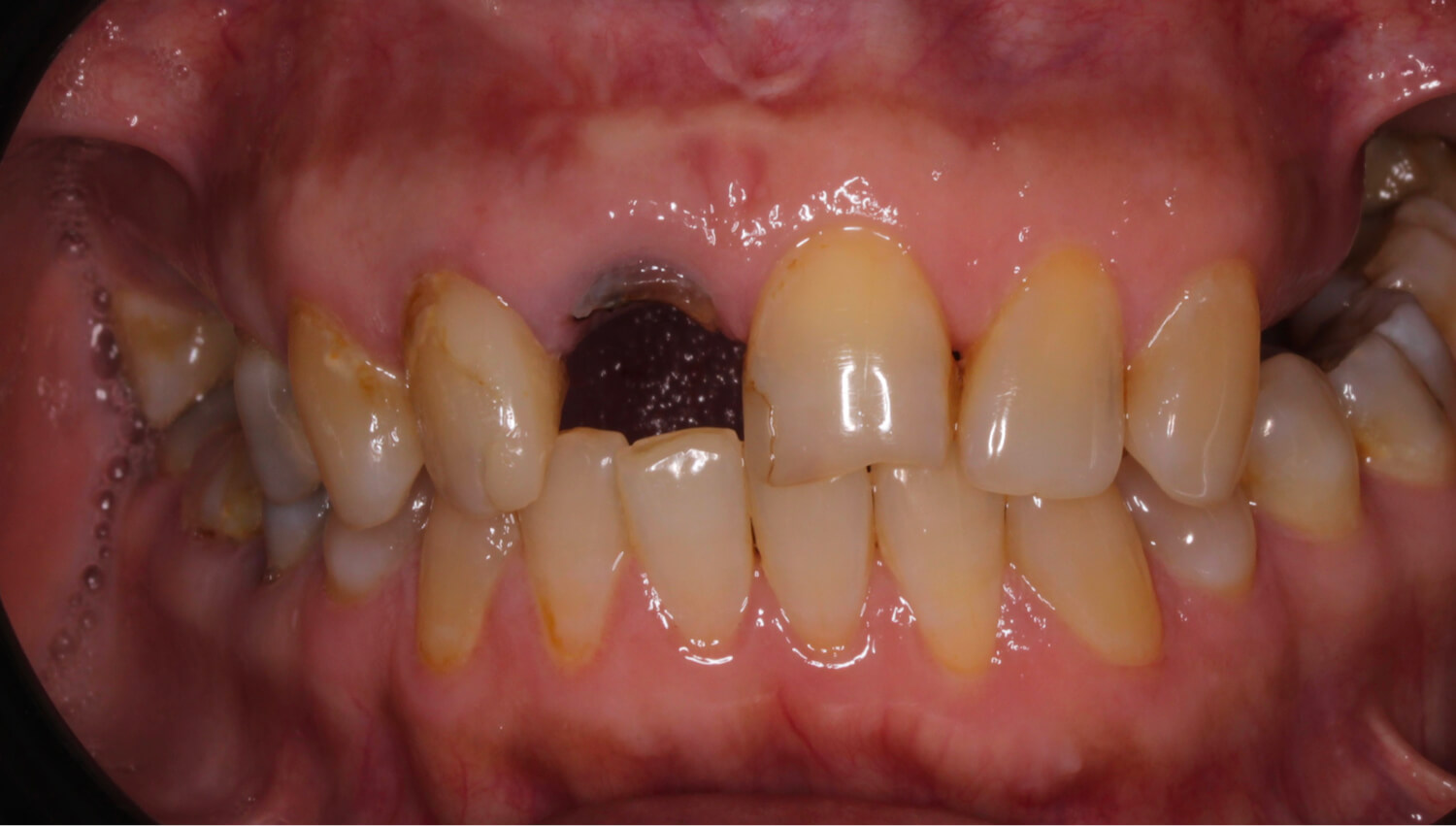
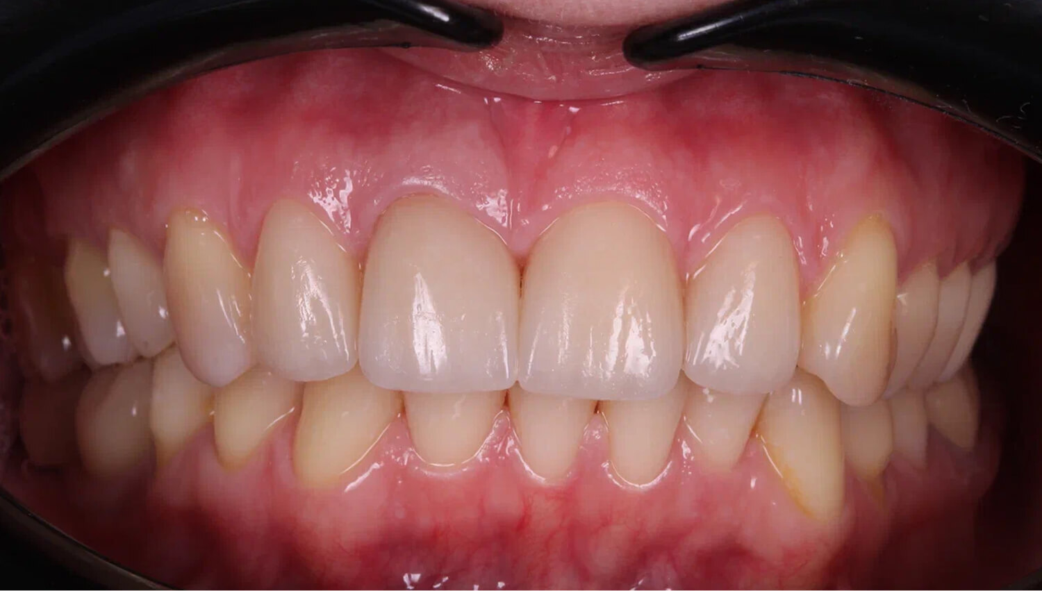
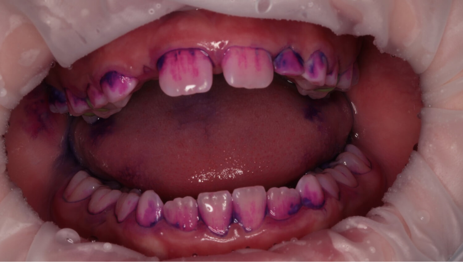
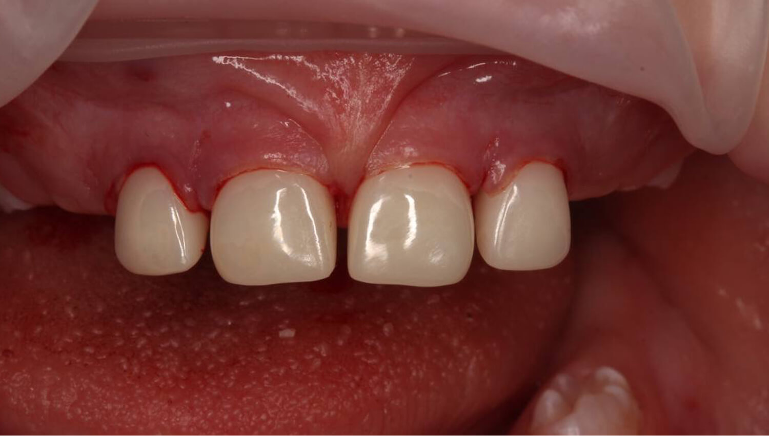
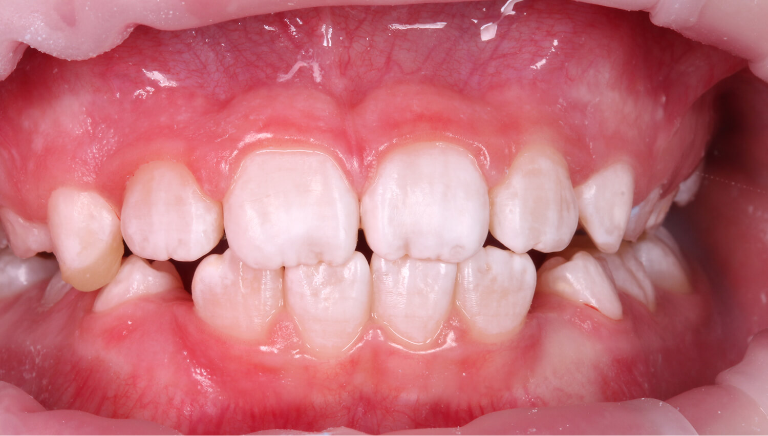
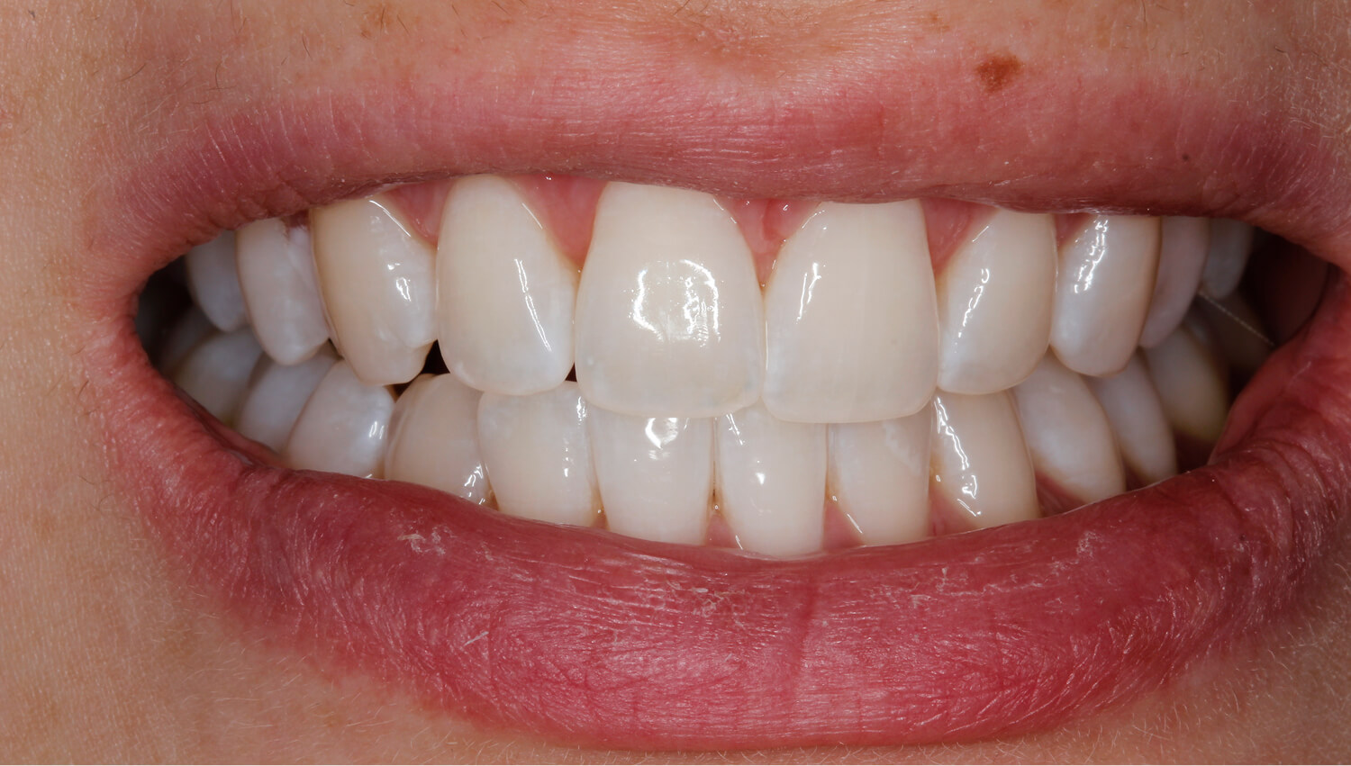
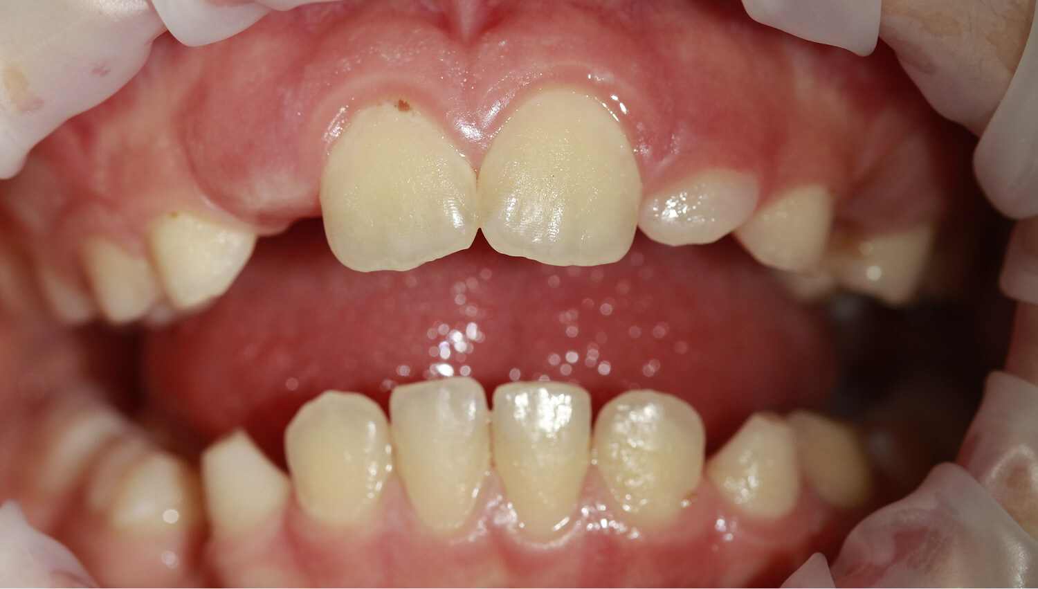
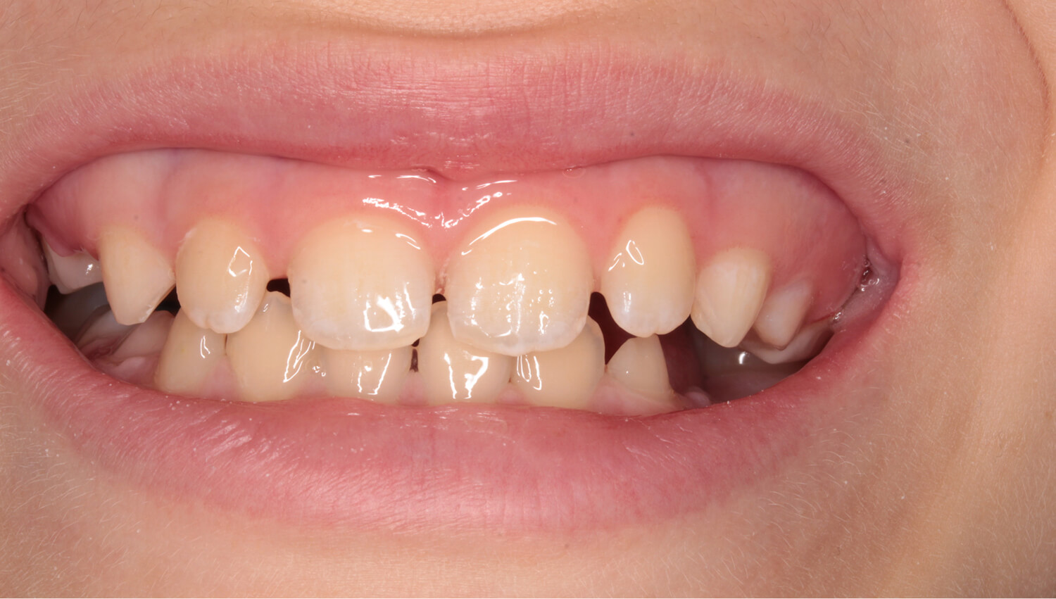
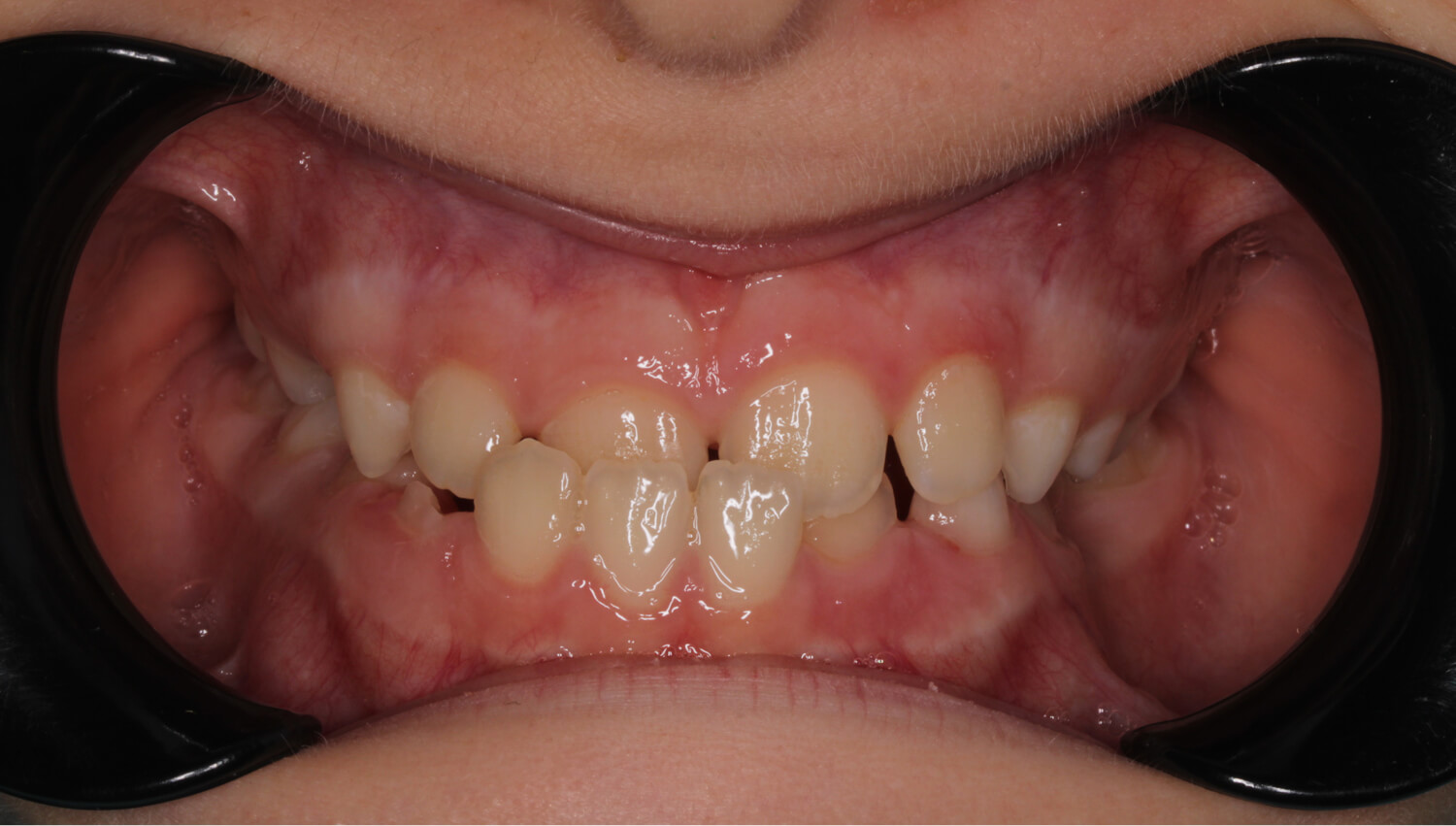
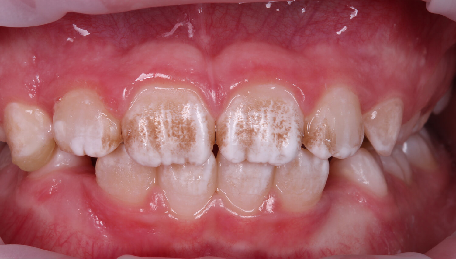
Примеры наших работ
Отзывы